Catalog# ET1608-66
Phospho-eIF4E (S209) Recombinant Rabbit Monoclonal Antibody [SU0396]
Application
-
WB
-
IF-Cell
-
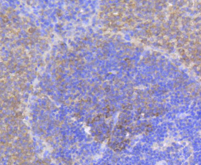
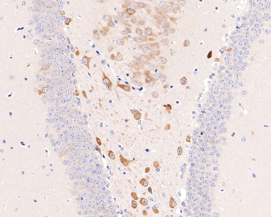
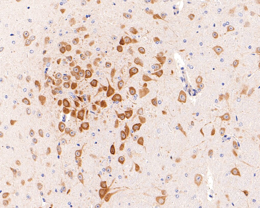
IHC-P
-
IP
-
FC
Reactivity
-
Human
-
Mouse
-
Rat
This product has been cited in peer reviewed publications, see list HERE

