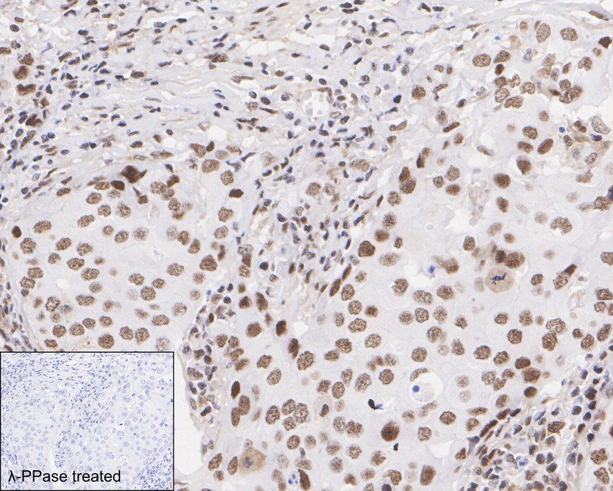
Catalog# ET1702-17
Phospho-PKC alpha (T638) Recombinant Rabbit Monoclonal Antibody [JF0964]
Application
-
WB
-
IF-Cell
-
IF-Tissue
-
IHC-P
-
IP
-
Dot Blot
Reactivity
-
Human
-
Mouse
-
Rat
This product has been cited in peer reviewed publications, see list HERE

