Skip to content

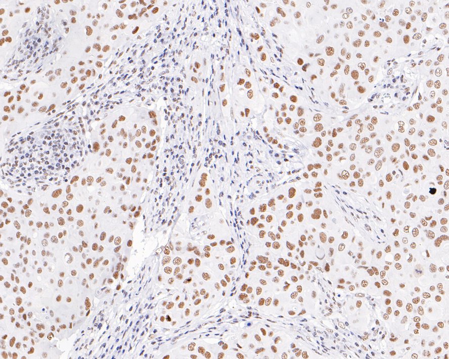
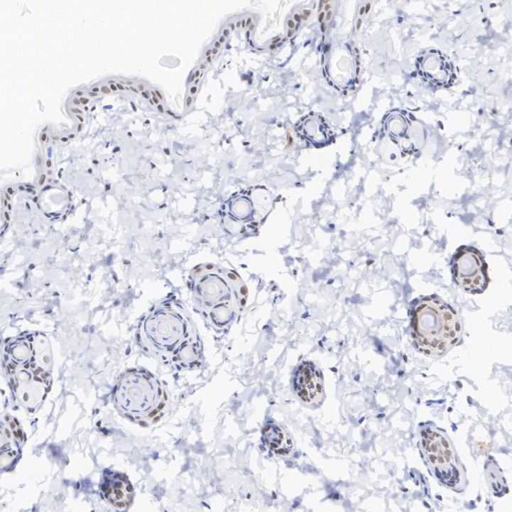
HDAC3 Recombinant Rabbit Monoclonal Antibody [SC55-02]

RMB: 900 特惠 1500

产品规格

现在订购,【现货】

点击询价

联系我们

邮箱: sales@huabio.cn

电话: 0571-88062880

查找各地代理商

Catalog# ET1610-5

HDAC3 Recombinant Rabbit Monoclonal Antibody [SC55-02]

Application
  • WB

  • IF-Cell

  • IF-Tissue

  • IHC-P

  • IP

Reactivity
  • Human

  • Mouse

  • Rat

This product has been cited in peer reviewed publications, see list HERE
Close (esc)

Popup

Use this popup to embed a mailing list sign up form. Alternatively use it as a simple call to action with a link to a product or a page.

Age verification

By clicking enter you are verifying that you are old enough to consume alcohol.

搜索