Catalog# ET1608-36
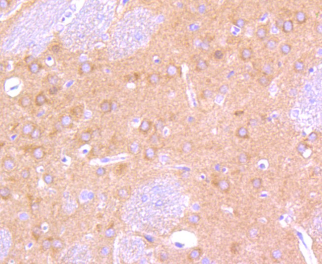
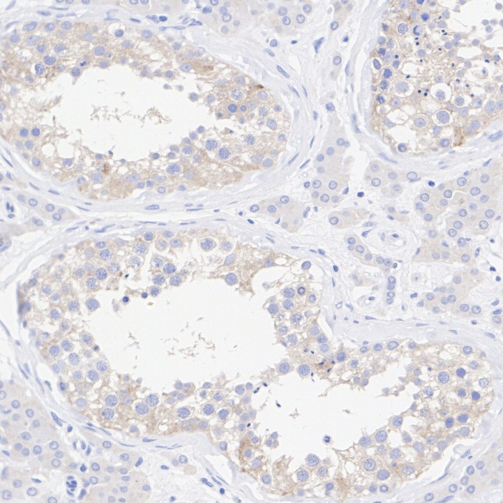
BRAF Recombinant Rabbit Monoclonal Antibody [SU34-04]
Application
-
WB
-
IHC-P
-
FC
-
IP
Reactivity
-
Human
-
Mouse
-
Rat
This product has been cited in peer reviewed publications, see list HERE


