Catalog# EM1901-45
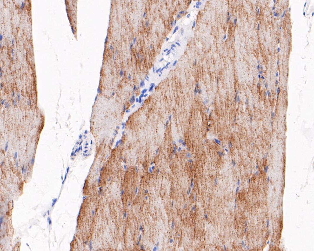
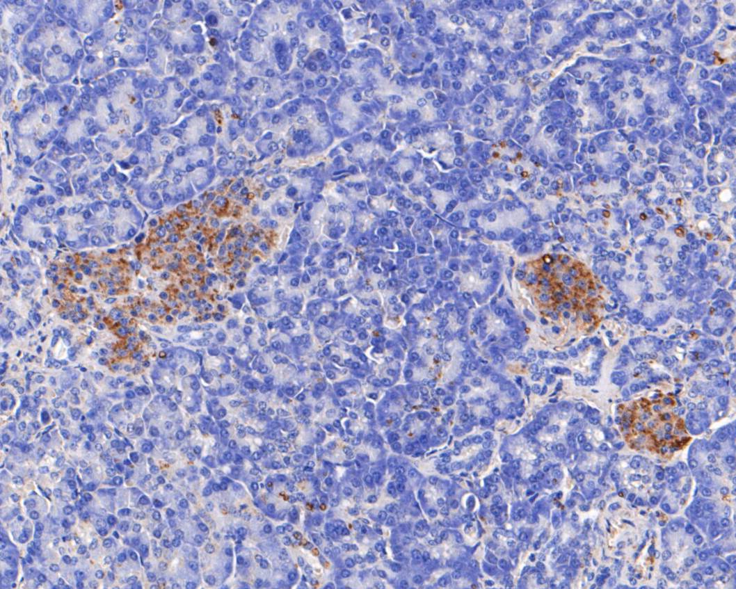
TRIM72 Mouse Monoclonal Antibody [A1D4]
Application
-
WB
-
IHC-P
Reactivity
-
Human
-
Mouse
-
Rat

