Catalog# ET7110-60
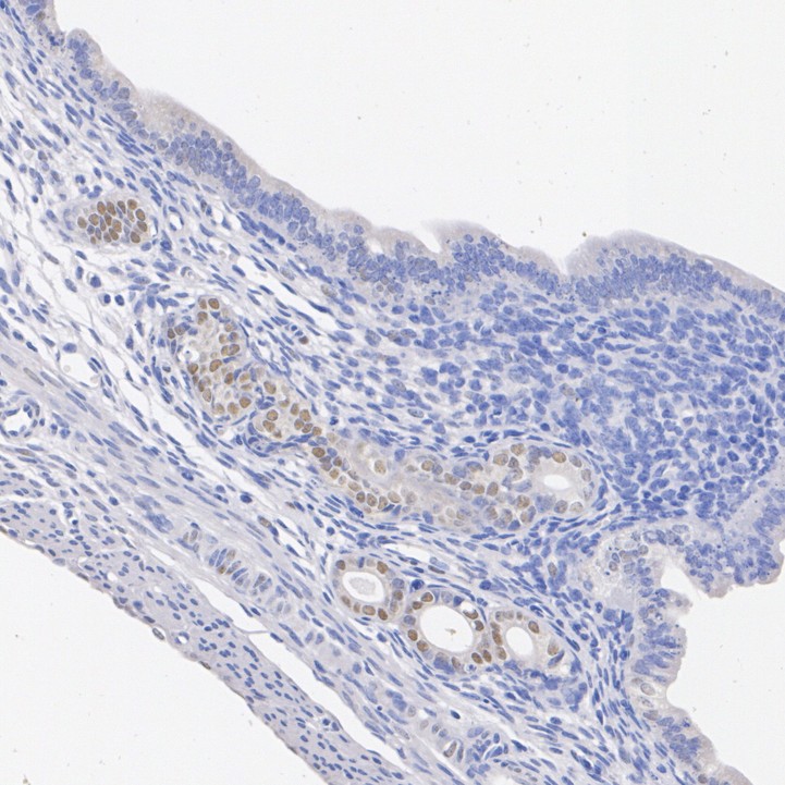
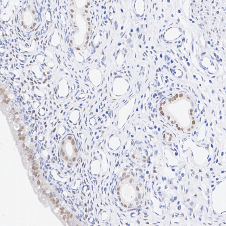
Estrogen Receptor alpha Recombinant Rabbit Monoclonal Antibody [JE26-14]
Application
-
WB
-
IHC-P
Reactivity
-
Human
-
Mouse

