Catalog# R1511-2
CLOCK Rabbit Polyclonal Antibody
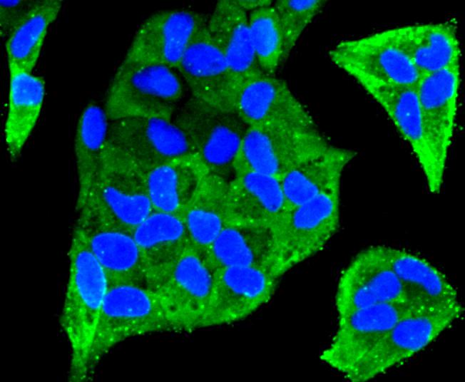
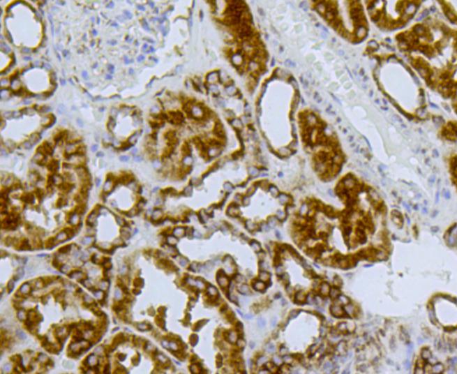
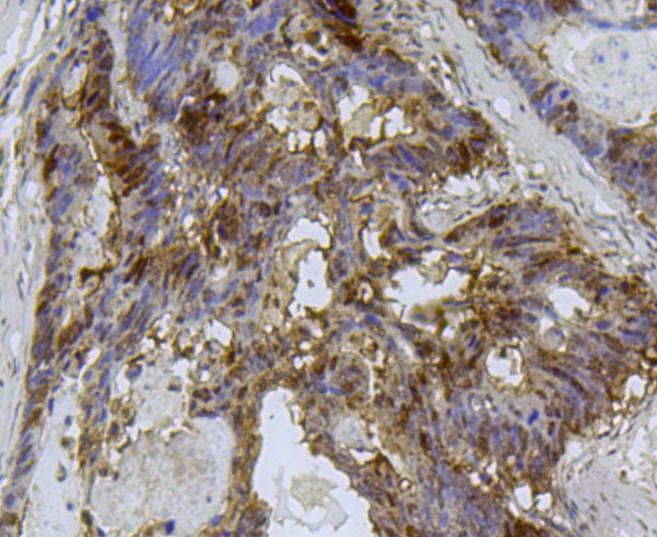
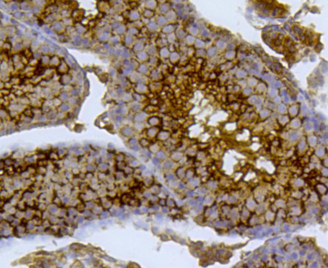
Application
-
WB
-
IF-Cell
-
IHC-P
-
FC
Reactivity
-
Human
-
Mouse
-
Rat
This product has been cited in peer reviewed publications, see list HERE

