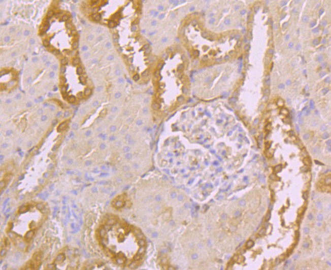
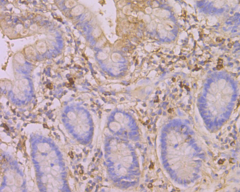
Catalog# ER1803-06
Antithrombin III / ATIII / SERPINC1 Rabbit Polyclonal Antibody
Application
-
WB
-
IF-Cell
-
IHC-P
-
FC
Reactivity
-
Human
-
Mouse
-
Rat

