Catalog# ER1803-49
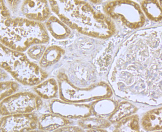
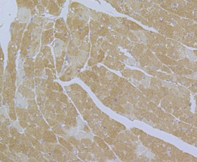
CACNA1C Rabbit Polyclonal Antibody
Application
-
Dot Blot
-
IF-Cell
-
IHC-P
-
FC
Reactivity
-
Human
-
Mouse
-
Rat
This product has been cited in peer reviewed publications, see list HERE

