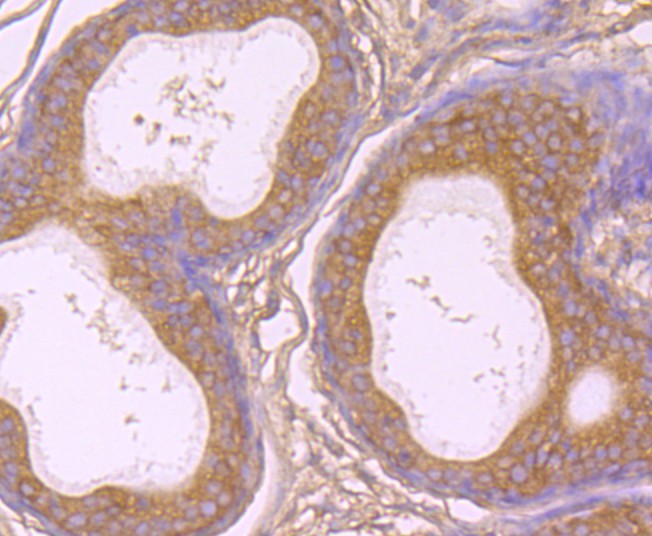
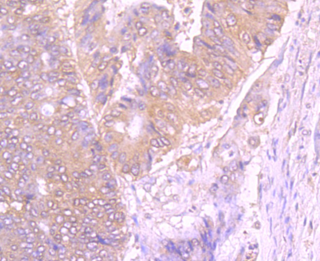
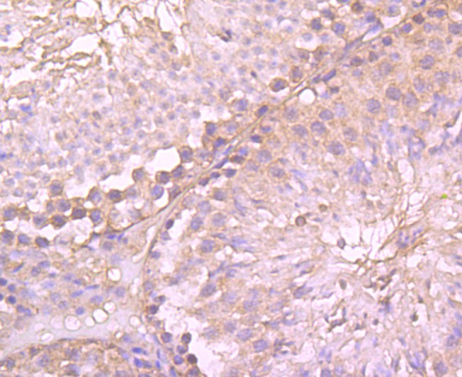
Catalog# M1701-13
gamma tubulin Mouse Monoclonal Antibody [10-A4]
Application
-
WB
-
IHC-P
-
IF-Cell
Reactivity
-
Human
-
Mouse
-
Rat

