图片
-
☑ Knockdown (KD)
Western blot analysis of Sulfite oxidase on different lysates with Rabbit anti-Sulfite oxidase antibody (HA720008) at 1/1,000 dilution.
Lane 1: HAP1-parental cell lysate
Lane 2: HAP1-Sulfite oxidase KD cell lysate
Lysates/proteins at 10 µg/Lane.
Predicted band size: 60 kDa
Observed band size: 60 kDa
Exposure time: 60 seconds; ECL: K1801;
4-20% SDS-PAGE gel.
Proteins were transferred to a PVDF membrane and blocked with 5% NFDM/TBST for 1 hour at room temperature. The primary antibody (HA720008) at 1/1,000 dilution was used in K1803 at 4℃ overnight. Goat Anti-Rabbit IgG - HRP Secondary Antibody (HA1001) at 1/50,000 dilution was used for 1 hour at room temperature.
-
Western blot analysis of Sulfite oxidase on different lysates with Rabbit anti-Sulfite oxidase antibody (HA720008) at 1/5,000 dilution.
Lane 1: 293T cell lysate
Lane 2: Mouse liver tissue lysate
Lysates/proteins at 20 µg/Lane.
Predicted band size: 60 kDa
Observed band size: 60 kDa
Exposure time: 59 seconds; ECL: K1801;
4-20% SDS-PAGE gel.
Proteins were transferred to a PVDF membrane and blocked with 5% NFDM/TBST for 1 hour at room temperature. The primary antibody (HA720008) at 1/5,000 dilution was used in primary antibody dilution (K1803) at 4℃ overnight. Goat Anti-Rabbit IgG - HRP Secondary Antibody (HA1001) at 1/50,000 dilution was used for 1 hour at room temperature.
-
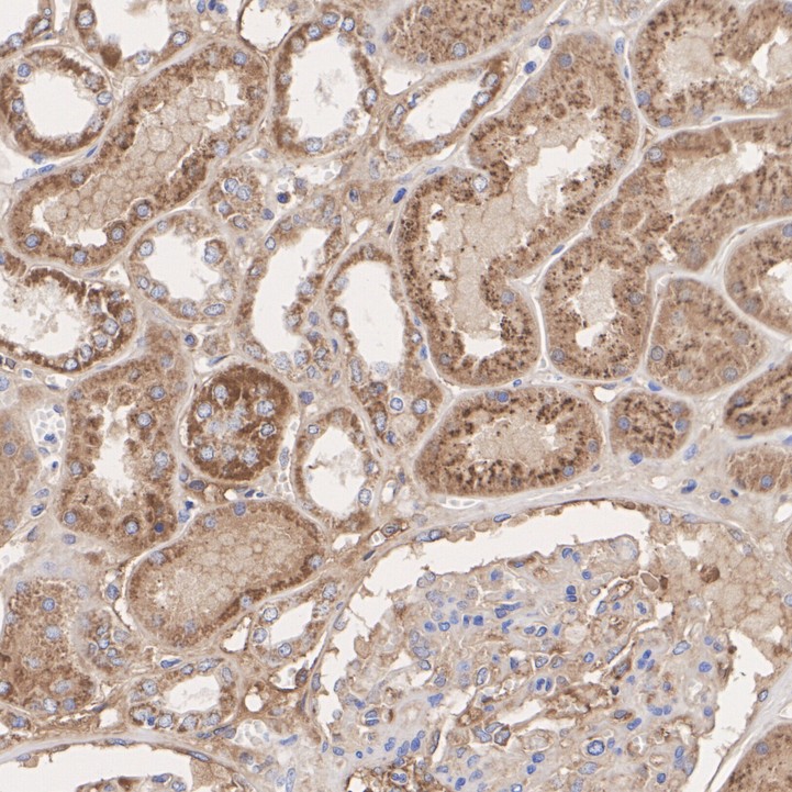
Immunohistochemical analysis of paraffin-embedded human kidney tissue with Rabbit anti-Sulfite oxidase antibody (HA720008) at 1/1,000 dilution.
The section was pre-treated using heat mediated antigen retrieval with Tris-EDTA buffer (pH 9.0) for 20 minutes. The tissues were blocked in 1% BSA for 20 minutes at room temperature, washed with ddH2O and PBS, and then probed with the primary antibody (HA720008) at 1/1,000 dilution for 1 hour at room temperature. The detection was performed using an HRP conjugated compact polymer system. DAB was used as the chromogen. Tissues were counterstained with hematoxylin and mounted with DPX.
-
Flow cytometric analysis of Sulfite oxidase was done on HepG2 cells. The cells were fixed, permeabilized and stained with the primary antibody (HA720008, 1ug/ml) (red) compared with Rabbit IgG, monoclonal - Isotype Control (green). After incubation of the primary antibody at +4℃ for 1 hour, the cells were stained with a Alexa Fluor®488 conjugate-Goat anti-Rabbit IgG Secondary antibody at 1/1,000 dilution for 30 minutes at +4℃ (dark incubation).Unlabelled sample was used as a control (cells without incubation with primary antibody; black).
请注意: All products are "FOR RESEARCH USE ONLY AND ARE NOT INTENDED FOR DIAGNOSTIC OR THERAPEUTIC USE"