概述
产品名称
SQSTM1 / p62 Rabbit Polyclonal Antibody
抗体类型
Rabbit Polyclonal Antibody
免疫原
Synthetic peptide within human TESPA1 aa 27-91.
种属反应性
Human, Mouse, Rat
验证应用
WB, IF-Cell, IHC-P
分子量
62kDa
阳性对照
Hela, F9, HepG2, human ovary carcinoma tissue
偶联
unconjugated
RRID
产品特性
形态
Liquid
存放说明
Shipped at 4℃. Store at +4℃ short term (1-2 weeks). It is recommended to aliquot into single-use upon delivery. Store at -20℃ long term.
存储缓冲液
1*PBS (pH7.4), 0.2% BSA, 40% Glycerol. Preservative: 0.05% Sodium Azide.
亚型
IgG
纯化方式
Immunogen affinity purified.
应用稀释度
-
WB
-
1:500-1:1,000
-
IF-Cell
-
1:200
-
IHC-P
-
1:200
发表文章中的应用
| WB | 查看 17 篇文献如下 |
| IF | 查看 3 篇文献如下 |
| IHC-P | 查看 1 篇文献如下 |
| IHC | 查看 1 篇文献如下 |
发表文章中的种属
| Rat | 查看 7 篇文献如下 |
| Mouse | 查看 6 篇文献如下 |
| Human | 查看 3 篇文献如下 |
| Chicken | 查看 3 篇文献如下 |
| Pig | 查看 1 篇文献如下 |
靶点
功能
Sequestosome 1 (SQSTM1, p62) is a ubiquitin binding protein involved in cell signaling, oxidative stress and autophagy. It was first identified as a protein that binds to the SH2 domain of p56Lck and independently found to interact with PKCζ. SQSTM1 was subsequently found to interact with ubiquitin, providing a scaffold for several signaling proteins and triggering degradation of proteins through the proteasome or lysosome. Interaction between SQSTM1 and TRAF6 leads to the K63-linked polyubiquitination of TRAF6 and subsequent activation of the NF-κB pathway. It may play a role in titin/TTN downstream signaling in muscle cells and regulate signaling cascades through ubiquitination. P62 may be involved in cell differentiation, apoptosis, immune response and regulation of K+ channels.
背景文献
1. "p62 overexpression in breast tumors and regulation by prostate-derived Ets factor in breast cancer cells." Thompson H.G.R., Harris J.W., Wold B.J., Lin F., Brody J.P. Oncogene 22:2322-2333(2003)
2. "Ubiquitin recognition by the ubiquitin-associated domain of p62 involves a novel conformational switch." Long J., Gallagher T.R., Cavey J.R., Sheppard P.W., Ralston S.H., Layfield R., Searle M.S. J. Biol. Chem. 283:5427-5440(2008)
组织特异性
Ubiquitously expressed.
翻译后修饰
Phosphorylated. May be phosphorylated by PRKCZ (By similarity). Phosphorylated in vitro by TTN. Phosphorylation at Ser-403 by ULK1 is stimulated by SESN2. Phosphorylated at Ser-403 by TBK1, leading to promote relocalization of 'Lys-63'-linked ubiquitinated STING1 to autophagosomes. Phosphorylation at Ser-349 by MTOR promotes interaction with KEAP1 and inactivation of the BCR(KEAP1) complex, promoting NFE2L2/NRF2 nuclear accumulation and expression of phase II detoxifying enzymes (By similarity).; Ubiquitinated by RNF26: ubiquitinated SQSTM1 attracts specific vesicle-associated adapters, forming a molecular bridge that restrains cognate vesicles in the perinuclear region and organizes the endosomal pathway for efficient cargo transport. Deubiquitination by USP15 releases target vesicles for fast transport into the cell periphery. Ubiquitinated by the BCR(KEAP1) complex at Lys-420, increasing SQSTM1 sequestering activity and promoting its degradation. Ubiquitinated via 'Lys-29' and 'Lys-33'-linked polyubiquitination leading to xenophagic targeting of bacteria and inhibition of their replication.
亚细胞定位
Cytoplasm
UNIPROT
别名
A170 antibody
DMRV antibody
EBI 3 associated protein of 60 kDa antibody
EBI 3 associated protein p60 antibody
EBI3 associated protein of 60 kDa antibody
EBI3 associated protein p60 antibody
EBI3-associated protein of 60 kDa antibody
EBIAP antibody
FTDALS3 antibody
MGC127197 antibody
展开A170 antibody
DMRV antibody
EBI 3 associated protein of 60 kDa antibody
EBI 3 associated protein p60 antibody
EBI3 associated protein of 60 kDa antibody
EBI3 associated protein p60 antibody
EBI3-associated protein of 60 kDa antibody
EBIAP antibody
FTDALS3 antibody
MGC127197 antibody
ORCA antibody
OSF-6 antibody
Osi antibody
OSIL antibody
Oxidative stress induced like antibody
p60 antibody
p62 antibody
p62B antibody
Paget disease of bone 3 antibody
PDB 3 antibody
PDB3 antibody
Phosphotyrosine independent ligand for the Lck SH2 domain of 62 kDa antibody
Phosphotyrosine independent ligand for the Lck SH2 domain p62 antibody
Phosphotyrosine-independent ligand for the Lck SH2 domain of 62 kDa antibody
PKC-zeta-interacting protein antibody
Protein kinase C-zeta-interacting protein antibody
Sequestosome 1 antibody
Sequestosome-1 antibody
SQSTM 1 antibody
SQSTM_HUMAN antibody
Sqstm1 antibody
STAP antibody
STONE14 antibody
Ubiquitin binding protein p62 antibody
Ubiquitin-binding protein p62 antibody
ZIP 3 antibody
ZIP antibody
ZIP3 antibody
折叠图片
-
Western blot analysis on Hela (1) and F9 (2) cell lysates using anti-SQSTM1 rabbit polyclonal antibodies.
-
ICC staining SQSTM1 in HepG2 cells (green). Cells were fixed in paraformaldehyde, permeabilised with 0.25% Triton X100/PBS and counterstained with DAPI in order to highlight the nucleus (blue).
-
Immunohistochemical analysis of paraffin-embedded human ovary carcinoma tissue using anti- SQSTM1 rabbit polyclonal antibody.
请注意: All products are "FOR RESEARCH USE ONLY AND ARE NOT INTENDED FOR DIAGNOSTIC OR THERAPEUTIC USE"
引文
-
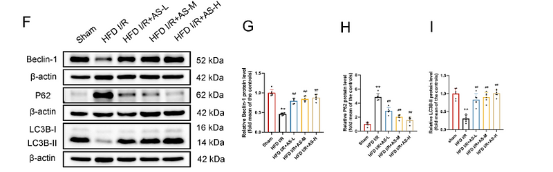
Novel AMPK/ORP8-Lipophagy Axis: A Therapeutic Target for Asiaticoside-Mediated Cardioprotection Against Ischemia-Reperfusion Injury in Hyperlipidemia
Author: Pinfang Kang
PMID: 41027151
期刊: Phytomedicine
应用: WB
反应种属: Mouse,Rat
发表时间: 2025 Sept
-
Citation
-
Sodium butyrate attenuates lipid metabolism disorder via improving mitochondrial function and activating autophagy in LMH cells
Author: Sasa Miao, Mengru Xu, Fang Liu, Xinyang Dong, Xiaoting Zou, Tao Zeng, Lizhi Lu
PMID: 40592290
期刊: Poultry Science
应用: WB
反应种属: Chicken
发表时间: 2025 Jun
-
Citation
-
DPSCs modulate synovial macrophage polarization and efferocytosis via PINK1/Parkin-dependent mitophagy
Author: Ma Jinjin, Wang Xinyu, Sun Dalei, Chen Jiali, Zhou Linyi, Zou Kaiao, Ni Xinxin, Jin Hongting, Lin Jun
PMID: 1NOPMID25082901
期刊: Stem Cell Research & Therapy
应用: IHC
反应种属: Rat
发表时间: 2025 Jul
-
Citation
-
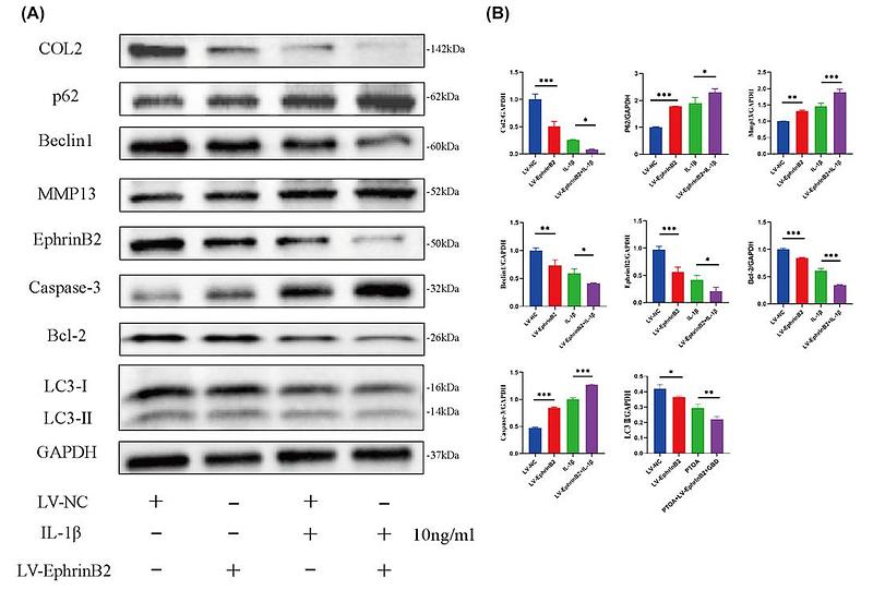
EphrinB2-mediated chondrocyte autophagy induces post-traumatic arthritis via rupture of cartilage homeostasis
Author: Zhengsheng Bao, Pinger Wang, Yanan Li, Huiqin Ding, Jingyuan Wen, Kaiao Zou, Xu Wang, Yang Yu, Xuefeng Li, Yingquan Liu, Hongting Jin, Lianguo Wu, Jun Ying
PMID: 39289794
期刊: Journal Of Cellular And Molecular Medicine
应用: WB,IHC-P
反应种属: Mouse
发表时间: 2024 Sept
-
Citation
-
Tetrahedral framework nucleic acids‐based delivery of microRNA‐155 alleviates intervertebral disc degeneration through targeting Bcl‐2/Bax apoptosis pathway
Author: Li Zhuhai,et al
PMID: 38899529
期刊: Cell Proliferation
应用: IF
反应种属: Rat
发表时间: 2024 Jun
-
Citation
-
Hippocampal mitophagy contributes to spatial memory via maintaining neurogenesis during the development of mice
Author: Xu Le,et al
PMID: 38887162
期刊: CNS Neuroscience & Therapeutics
应用: WB
反应种属: Mouse
发表时间: 2024 Jun
-
Citation
-
Exosomal miR-4645-5p from hypoxic bone marrow mesenchymal stem cells facilitates diabetic wound healing by restoring keratinocyte autophagy
Author: Shi Yan,et al
PMID: 38250706
期刊: Burns & Trauma
应用: WB
反应种属: Mouse
发表时间: 2024 Jan
-
Citation
-
The Effect of JAK Inhibitor Tofacitinib on Chondrocyte Autophagy.
Author:
PMID: 37310645
期刊:
应用: WB
反应种属: Human
发表时间: 2023 Oct
-
Citation
-
Activation of autophagy inhibits the activation of NLRP3 inflammasome and alleviates sevoflurane-induced cognitive dysfunction in elderly rats
Author: Zhou, J., Zhang, C., Fang, X., Zhang, N., Zhang, X., & Zhu, Z.
PMID: 36709248
期刊: BMC Neuroscience
应用: WB
反应种属: Rat
发表时间: 2023 Jan
-
Citation
-
Leukemia inhibitory factor prevents chicken follicular atresia through PI3K/AKT and Stat3 signaling pathways.
Author:
PMID: 34990741
期刊:
应用: WB
反应种属: Chicken
发表时间: 2022 Mar
-
Citation
-
Healthy Serum-Derived Exosomes Improve Neurological Outcomes and Protect Blood–Brain Barrier by Inhibiting Endothelial Cell Apoptosis and Reversing Autophagy-Mediated Tight Junction Protein Reduction in Rat Stroke Model
Author: Huang, L. Y., Song, J. X., Cai, H., Wang, P. P., Yin, Q. L., Zhang, Y. D., Chen, J., Li, M., Song, J. J., Wang, Y. L., Luo, L., Wang, W., & Qi, S. H.
PMID: 35308117
期刊: Frontiers In Cellular Neuroscience
应用: WB
反应种属: Rat
发表时间: 2022 Mar
-
Citation
-
Bone marrow mesenchymal stem cells facilitate diabetic wound healing through the restoration of epidermal cell autophagy via the HIF-1α/TGF-β1/SMAD pathway
Author: Shi, Y., Wang, S., Zhang, W., Zhu, Y., Fan, Z., Huang, Y., Li, F., & Yang, R.
PMID: 35841007
期刊: Stem Cell Research & Therapy
应用: WB
反应种属: Human
发表时间: 2022 Jul
-
Citation
-
Protective Effect of Grape Seed Proanthocyanidins on Oxidative Damage of Chicken Follicular Granulosa Cells by Inhibiting FoxO1-Mediated Autophagy
Author: Zhou, S., Zhao, A., Wu, Y., Mi, Y., & Zhang, C.
PMID: 35242756
期刊: Frontiers In Cell And Developmental Biology
应用: WB
反应种属: Chicken
发表时间: 2022 Feb
-
Citation
-
Fluid Shear Stress Regulates Osteogenic Differentiation via AnnexinA6-Mediated Autophagy in MC3T3-E1 Cells
Author: Pei, T., Su, G., Yang, J., Gao, W., Yang, X., Zhang, Y., Ren, J., Shen, Y., & Liu, X.
PMID: 36555344
期刊: International Journal Of Molecular Sciences
应用: WB
反应种属: Human
发表时间: 2022 Dec
-
Citation
-
Lactobacillus plantarum postbiotics trigger AMPK-dependent autophagy to suppress Salmonella intracellular infection and NLRP3 inflammasome activation
Author: Wu, Y., Hu, A., Shu, X., Huang, W., Zhang, R., Xu, Y., & Yang, C.
PMID: 37052047
期刊: Journal Of Cellular Physiology
应用: WB
反应种属: Pig
发表时间: 2022 Apr
-
Citation
-
PPARβ/δ accelerates bone regeneration in diabetic mellitus by enhancing AMPK/mTOR pathway-mediated autophagy
Author: Chen, M., Jing, D., Ye, R., Yi, J., & Zhao, Z.
PMID: 34736532
期刊: Stem Cell Research & Therapy
应用: WB
反应种属: Rat
发表时间: 2021 Nov
-
Citation
-
Lycorine improves peripheral nerve function by promoting Schwann cell autophagy via AMPK pathway activation and MMP9 downregulation in diabetic peripheral neuropathy
Author: Qingqing Yuan, Xiang Zhang, Wandi Wei, Jialing Zhao, Yuhao Wu, Song Zhao, Lin Zhu, Peiran Wang, Jun Hao
PMID: 34863821
期刊: Pharmacological Research
应用: WB,IF
反应种属: Rat
发表时间: 2021 Dec
-
Citation
-
Combination of HSP90 and autophagy inhibitors promotes hepatocellular carcinoma apoptosis following incomplete thermal ablation
Author: Shusen Zheng
PMID: 32319654
期刊: Molecular Medicine Reports
应用: WB
反应种属: Mouse
发表时间: 2020 Jul
-
Citation
-
Critical roles of conventional dendritic cells in autoimmune hepatitis via autophagy regulation
Author: Tinghong Ye;Li Yang
PMID: 31932577
期刊: Cell Death & Disease
应用: WB,IF
反应种属: Mouse
发表时间: 2020 Jan
-
Citation
Alternative Products
SQSTM1 / p62 Recombinant Rabbit Monoclonal Antibody [PS00-61]
Application: WB,IHC-P,IF-Cell,FC,IF-Tissue,IHC-Fr
Reactivity: Human,Mouse,Rat,Cynomolgus monkey,Pig
Conjugate: unconjugated
同靶点 & 同通路的产品
SQSTM1 / p62 Mouse Monoclonal Antibody [10-E10]
Application: IF-Cell,IHC-P,FC
Reactivity: Human,Mouse,Rat
Conjugate: unconjugated

