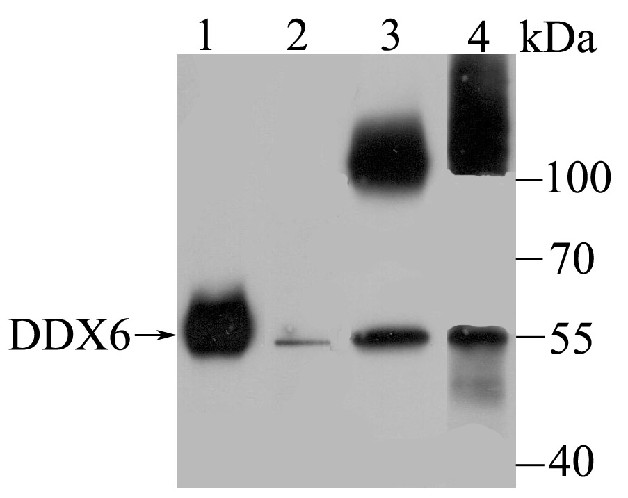
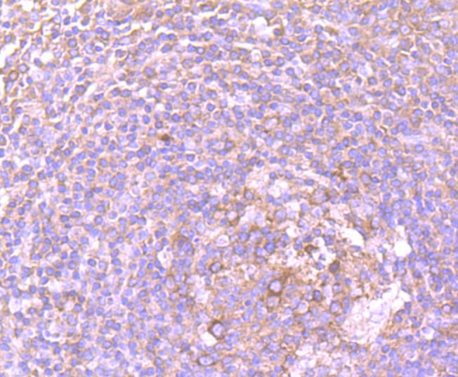
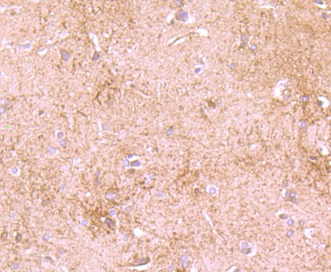
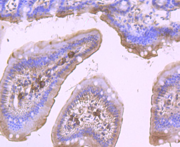
Catalog# ET7107-06
DDX6 Recombinant Rabbit Monoclonal Antibody [JB41-32]
Application
-
WB
-
IHC-P
Reactivity
-
Human
-
Mouse
-
Rat

