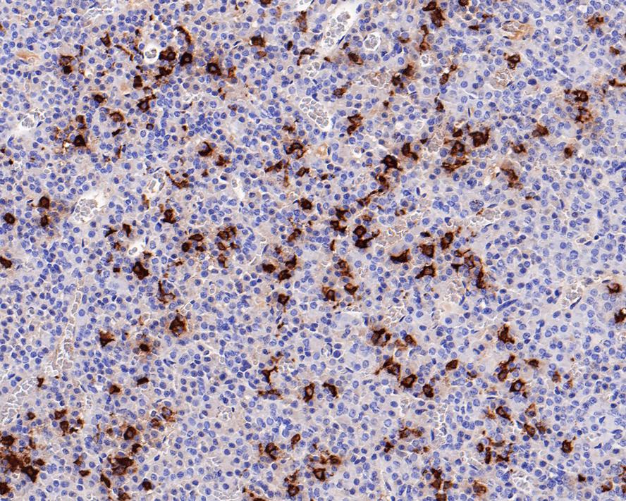
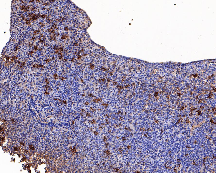
Catalog# HA601113
POMC Recombinant Mouse Monoclonal Antibody [PD01-40]
Application
-
IHC-P
-
IF-Tissue
Reactivity
-
Human
-
Mouse
-
Rat


