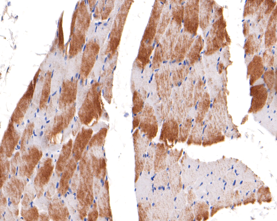
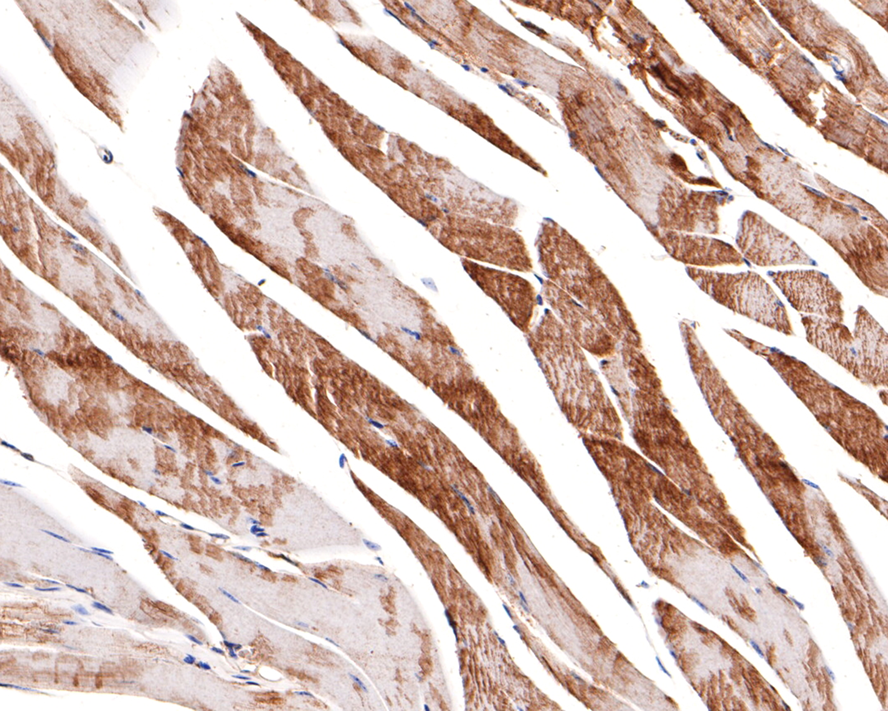
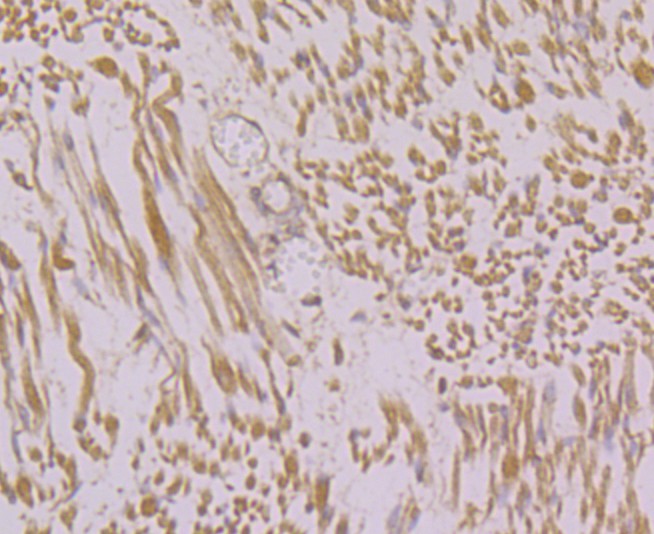
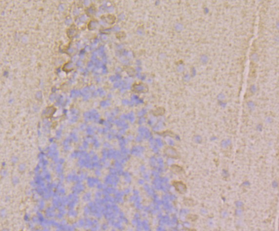
Catalog# ER1803-19
RYR1 Rabbit Polyclonal Antibody
Application
-
Dot Blot
-
IHC-P
-
FC
Reactivity
-
Human
-
Mouse

