Catalog# HA721276
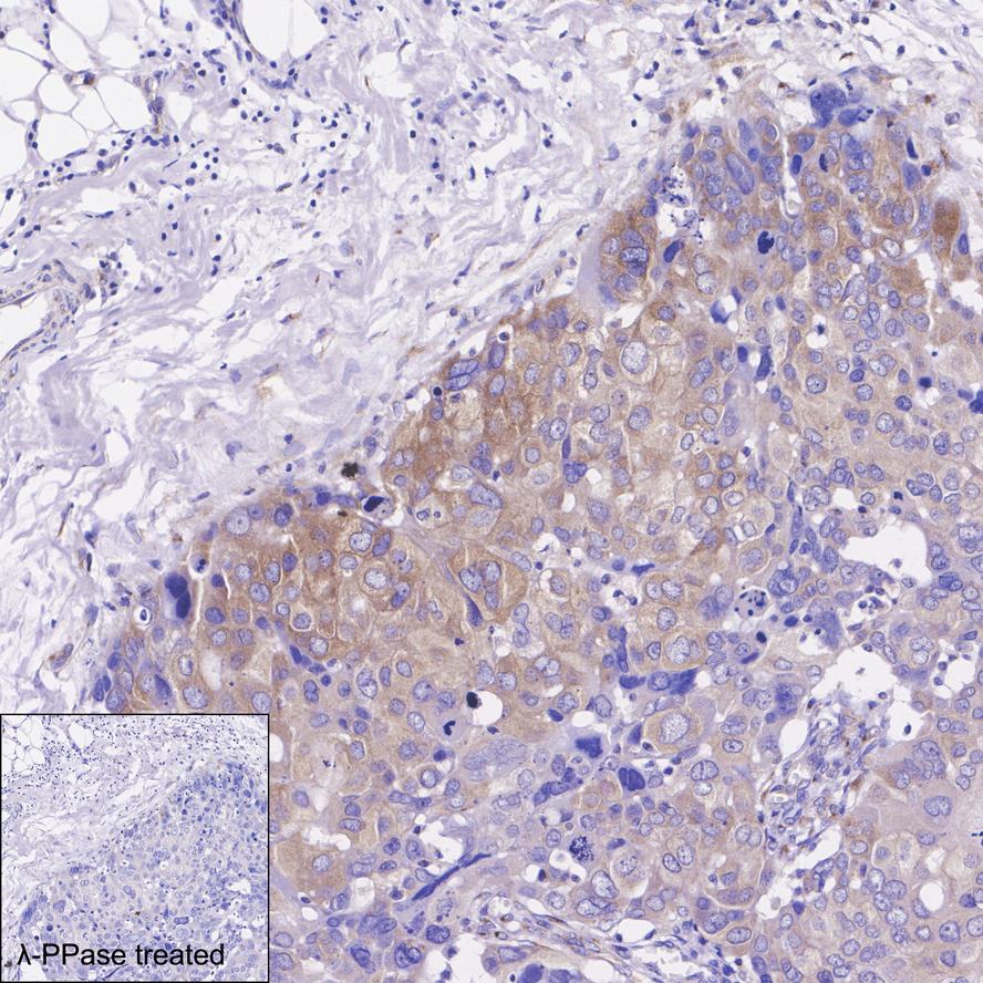
Phospho-eIF4G (S1108) Recombinant Rabbit Monoclonal Antibody [PS01-08]
Application
-
WB
-
IHC-P
Reactivity
-
Human

