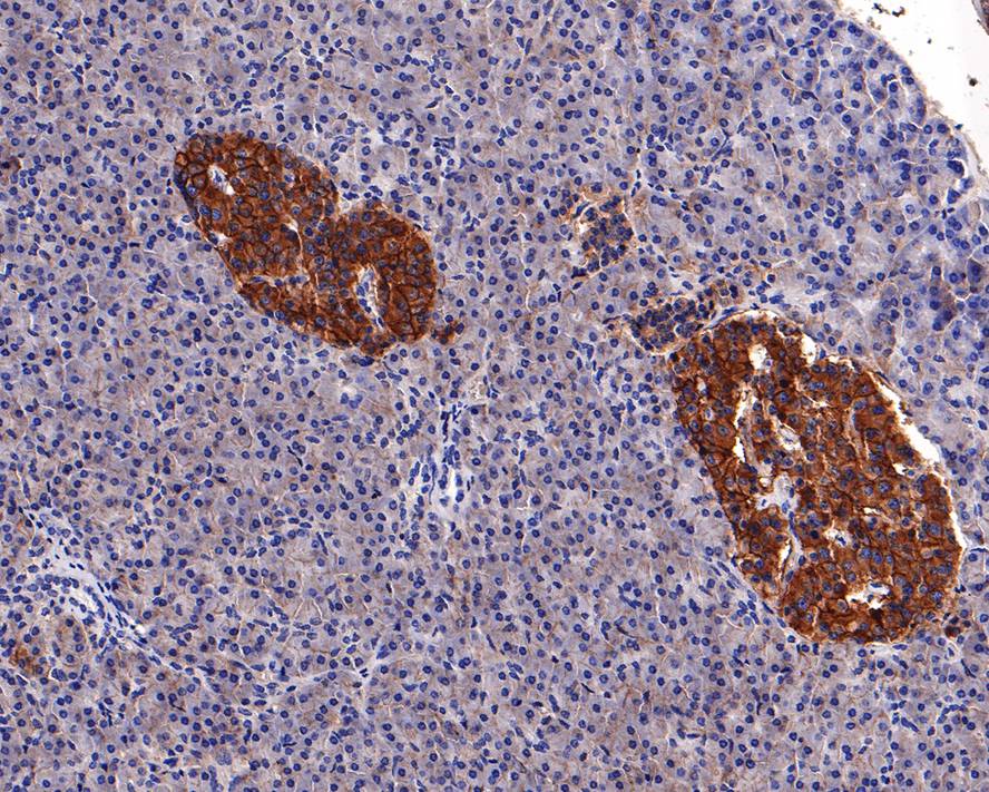
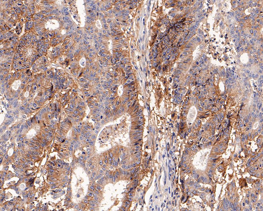
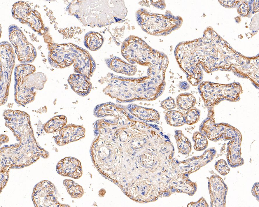
Catalog# HA721203
ENT1 Recombinant Rabbit Monoclonal Antibody [PD00-77]
Application
-
IHC-P
Reactivity
-
Human


