图片
-
☑ Cell treatment (CT)
Western blot analysis of Acetylated-Lysine on different lysates with Rabbit anti-Acetylated-Lysine antibody (HA723073) at 1/2,000 dilution.
Lane 1: HeLa cell lysate
Lane 2: HeLa treated with 1μM TSA for 18 hours cell lysate
Lane 3: NIH/3T3 cell lysate
Lane 4: NIH/3T3 treated with 400nM TSA for 18 hours cell lysate
Lane 5: C6 cell lysate
Lane 6: C6 treated with 1μM TSA for 18 hours cell lysate
Lysates/proteins at 20 µg/Lane.
Observed band size: Mutiple bands
Exposure time: 42 seconds; ECL: K1801;
4-20% SDS-PAGE gel.
Proteins were transferred to a PVDF membrane and blocked with 5% NFDM/TBST for 1 hour at room temperature. The primary antibody (HA723073) at 1/2,000 dilution was used in 5% NFDM/TBST at 4℃ overnight. Goat Anti-Rabbit IgG - HRP Secondary Antibody (HA1001) at 1/50,000 dilution was used for 1 hour at room temperature.
-
Immunohistochemical analysis of paraffin-embedded human breast cancer tissue with Rabbit anti-Acetylated-Lysine antibody (HA723073) at 1/100,000 dilution.
The section was pre-treated using heat mediated antigen retrieval with sodium citrate buffer (pH 6.0) (high pressure) for 2 minutes. The tissues were blocked in 1% BSA for 20 minutes at room temperature, washed with ddH2O and PBS, and then probed with the primary antibody (HA723073) at 1/100,000 dilution for 1 hour at room temperature. The detection was performed using an HRP conjugated compact polymer system. DAB was used as the chromogen. Tissues were counterstained with hematoxylin and mounted with DPX.
-
Immunohistochemical analysis of paraffin-embedded human colon cancer tissue with Rabbit anti-Acetylated-Lysine antibody (HA723073) at 1/20,000 dilution.
The section was pre-treated using heat mediated antigen retrieval with sodium citrate buffer (pH 6.0) (high pressure) for 2 minutes. The tissues were blocked in 1% BSA for 20 minutes at room temperature, washed with ddH2O and PBS, and then probed with the primary antibody (HA723073) at 1/20,000 dilution for 1 hour at room temperature. The detection was performed using an HRP conjugated compact polymer system. DAB was used as the chromogen. Tissues were counterstained with hematoxylin and mounted with DPX.
-
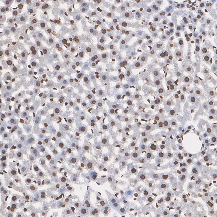
Immunohistochemical analysis of paraffin-embedded mouse liver tissue with Rabbit anti-Acetylated-Lysine antibody (HA723073) at 1/20,000 dilution.
The section was pre-treated using heat mediated antigen retrieval with sodium citrate buffer (pH 6.0) (high pressure) for 2 minutes. The tissues were blocked in 1% BSA for 20 minutes at room temperature, washed with ddH2O and PBS, and then probed with the primary antibody (HA723073) at 1/20,000 dilution for 1 hour at room temperature. The detection was performed using an HRP conjugated compact polymer system. DAB was used as the chromogen. Tissues were counterstained with hematoxylin and mounted with DPX.
-
Immunohistochemical analysis of paraffin-embedded rat liver tissue with Rabbit anti-Acetylated-Lysine antibody (HA723073) at 1/100,000 dilution.
The section was pre-treated using heat mediated antigen retrieval with sodium citrate buffer (pH 6.0) (high pressure) for 2 minutes. The tissues were blocked in 1% BSA for 20 minutes at room temperature, washed with ddH2O and PBS, and then probed with the primary antibody (HA723073) at 1/100,000 dilution for 1 hour at room temperature. The detection was performed using an HRP conjugated compact polymer system. DAB was used as the chromogen. Tissues were counterstained with hematoxylin and mounted with DPX.
-
Indirect ELISA analysis of Acetylated-Lysine on different conjugations.
-
Chromatin immunoprecipitations were performed with cross-linked chromatin from HeLa cells with Acetylated-Lysine (HA723073) or Normal Rabbit IgG according to the ChIP protocol. The enriched DNA was quantified by real-time PCR using indicated primers. The amount of immunoprecipitated DNA in each sample is represented as signal relative to the total amount of input chromatin, which is equivalent to one.
-
Acetylated-Lysine was immunoprecipitated from 0.2 mg NIH/3T3 treated with 400nM TSA for 18 hours cell lysate with HA723073 at 2 µg/10 µl beads. Western blot was performed from the immunoprecipitate using Histone H3 (acetyl K9) (HA722132) at 1/2,000 dilution. Mouse Anti-Rabbit IgG kappa light chain secondary antibody (M1208-2) at 1/5,000 dilution was used for 1 hour at room temperature.
Lane 1: NIH/3T3 treated with 400nM TSA for 18 hours cell lysate (input)
Lane 2: HA723073 IP in NIH/3T3 treated with 400nM TSA for 18 hours cell lysate
Lane 3: Rabbit IgG instead of HA723073 in NIH/3T3 treated with 400nM TSA for 18 hours cell lysate
Blocking/Dilution buffer: 5% NFDM/TBST
Exposure time: 1 minute 57 seconds; ECL: K1801
请注意: All products are "FOR RESEARCH USE ONLY AND ARE NOT INTENDED FOR DIAGNOSTIC OR THERAPEUTIC USE"